Smile Gallery

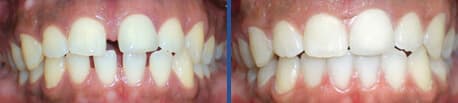
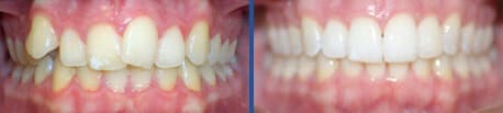
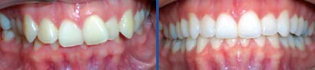
Smile Gallery: Invisalign

invisalign
invisalign
invisalign

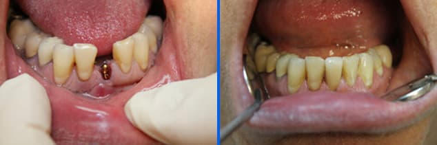
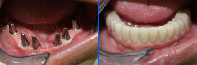
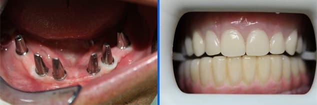
Smile Gallery: Dental Implants

implant
implant
implant
implant
implant
implant
implant
implant

Smile Gallery: Veneers

veneers

Dentist Proudly Serving
Mayfair


Schedule Your Visit

Have Any Questions?
Call Us Today at: (215) 792-3055

(215) 792-3055